Телерентгенограмма — что это такое?
ТРГ зубов — это 2D рентген-снимок черепа, который позволяет увидеть, как расположены корни зубов, челюсти пациента. Он дает понимание, в каком состоянии находятся костные и мягкие ткани исследуемой части лица.Ортопантомограф создает изображения на расстоянии 1.5-2 метра. За счет этого они получаются в естественных пропорциях с минимальными искажениями.
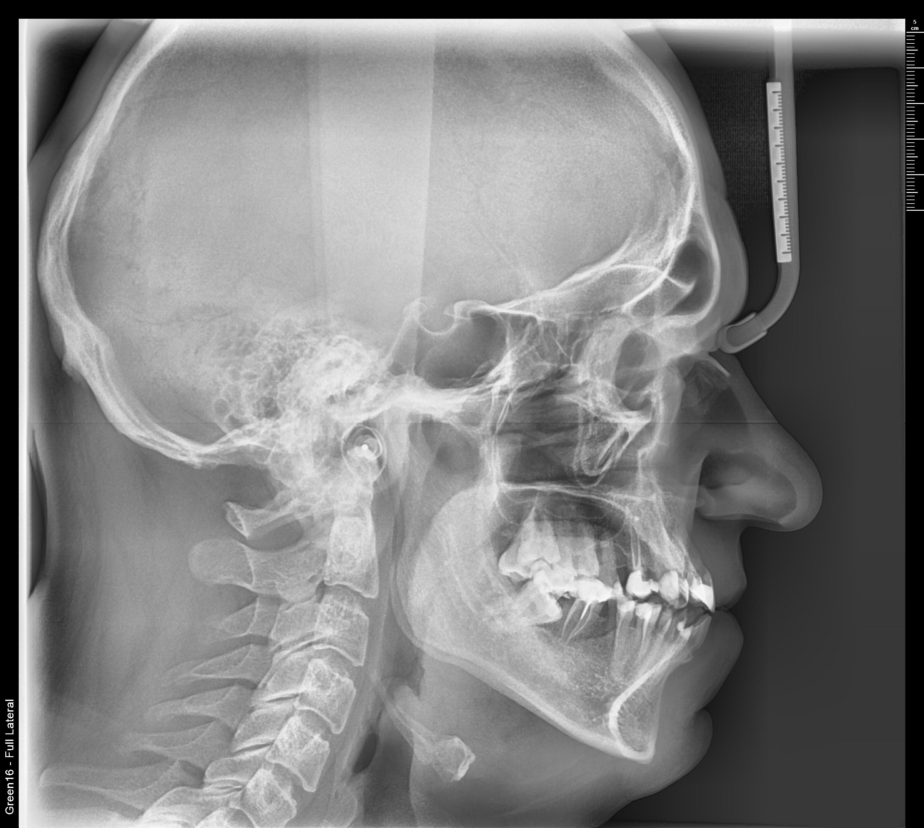
Виды ТРГ
Какой тип телерентгенограммы назначить пациенту, решает врач исходя из задач лечения. Есть два основных вида ТРГ в стоматологии:
-
Боковая (латеральная) проекция: позволяет оценить соотношение челюстей, наклон зубов и выявить аномалии прикуса. Часто используется для планирования и контроля ортодонтического лечения;
-
Прямая (фронтальная) проекция: предоставляет информацию о симметрии лицевых структур, состоянии костной ткани и возможных патологиях развития. Применяется при подготовке к ортогнатическим операциям и для диагностики асимметрии лица.
Если требуются более узкие исследования, врач применяет дополнительные типы ТРГ, например, проекцию Уотерса. При таком исследовании пациент прислоняет к экрану подбородок и запрокидывает голову. Так лучше видны гайморовы и решетчатые пазухи носа. Разные варианты телерентгенограммы можно использовать как отдельно, так и в сочетании между собой.
Для чего делают ТРГ в стоматологии
Чаще всего телерентгенограмму применяют врачи-ортодонты при аномалиях прикуса. Однако такой тип рентгенологических исследований популярен и в других разделах стоматологии.
Вот какие вопросы помогает решить панорамный снимок черепа:
-
диагностика аномалий прикуса: ТРГ для ортодонта позволяет определить тип и степень отклонений, что важно для подбора нужного лечебного протокола;
-
планирование ортодонтического лечения: на основе результатов диагностики врач разрабатывает стратегию исправления прикуса, выбирает подходящие инструменты и прогнозирует результаты;
-
оценка успешности лечения: повторные ТРГ-снимки помогают выяснить, насколько эффективно проходит лечение и нужно ли что-то менять;
-
подготовка к операциям: телерентгенограмма используется при планировании имплантации зубов для точной оценки анатомических особенностей пациента;
-
диагностика заболеваний височно-нижнечелюстного сустава (ВНЧС): помогает выявить патологии сустава и определить тактику их лечения.
Показания для телерентгенограммы
ТРГ можно делать как детям, так и взрослым. Врач назначает такое исследование, если ему нужно детально рассмотреть черепно-челюстно-лицевую область пациента.
Проведение телерентгенографии показано в следующих случаях:
-
аномалии челюстей, прикуса и зубов;
-
воспаления в челюстно-лицевой области;
-
подозрения на кисты, опухоли;
-
оценка состояния костных и мягких тканей при травмах лица;
-
подготовка к хирургическим операциям в лицевой области;
-
контроль проводимого лечения и т.д.
Как проводят ТРГ
Перед процедурой пациент снимает предметы из металла с головы и шеи: украшения, слуховой аппарат, очки, съемные зубные протезы. Затем садится или встает перед рентген-аппаратом. Врач защищает его грудь и живот просвинцованным фартуком, фиксирует голову на специальных опорах. Нужно стоять или сидеть максимально неподвижно и задержать дыхание. Изображение передается на компьютер и специалист может приступать к анализу.
Преимущества телерентгенограммы
По-сравнению с обычными рентген-снимками у ТРГ есть ряд плюсов:
-
01высокая информативность
позволяет детально оценить состояние зубочелюстной системы и лицевых структур
-
02безопасность
низкая доза облучения делает процедуру безопасной для пациентов разных возрастов
-
03быстрота проведения
исследование занимает 10-15 секунд, а результаты доступны сразу после сканирования
-
04точность диагностики
позволяет выявлять патологии на ранних стадиях и планировать эффективное лечение
-
05универсальность
применяется в различных областях стоматологии и челюстно-лицевой хирургии
В клинике МитраЛаб вы получите детальную телерентгенограмму и консультацию специалиста в области имплантации зубов. Записываться на процедуру лучше заранее.